Снимки на бели дробове на пациент, на които е видно как коронавирусът се разпространява само за три дни, бяха публикувани от лекари, изследвали болни в Ухан.
Снимките бяха оповестени в списание Radiology, предаде ТАСС.
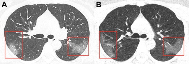
Изображенията са получени в резултат на компютърна томография на 33-годишна жена, хоспитализирана в китайския град Ланджоу с температура от 39 градуса. Тя е работила в Ухан.

Първата снимка показва замъгляване, създавайки "ефект на матирано стъкло" на дроба. Това е в резултат на влиянието на коронавируса в първите дни на заболяването.
На втората снимка са показани белите дробове на жената само три дни по-късно с огромни поражения.
Снимките ще помогнат на изследователите да разберат как действа новият коронавирус.
Добави коментар